Είναι η αλλοίωση-καταστροφή του αρθρικού χόνδρου που οδηγεί τελικά σε πλήρη αποδιοργάνωση της άρθρωσης.
Αιτιολογία:

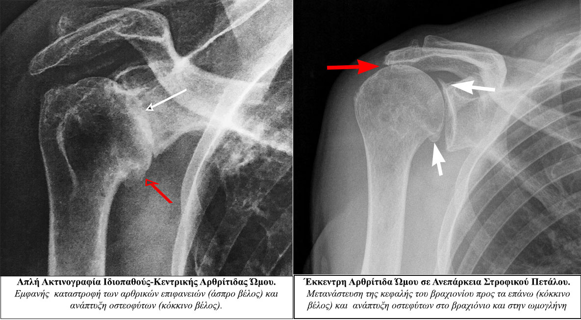
Η διάγνωση της αρθρίτιδας του ώμου στηρίζεται κυρίως στα εξής:


Η άμεση απάντηση είναι ΟΧΙ.
Η ομάδα μας έχει αναπτύξει νέα μέθοδο για την προεγχειρητική και μετεγχειρητική αξιολόγηση της βέλτιστης θέσης μιας αρθροπλαστικής ώμου, ώστε να μπορεί να προβλεφθεί το καλύτερο λειτουργικό αποτέλεσμα. H μέθοδος έχει γίνει δεκτή σε επιστημονικό περιοδικό για δημοσίευση. (Boutsiadis et al).
https://www.youtube.com/watch?v=J1kkmyIJbqc&t=5s

Ιδιαίτερη σημασία δίνεται στην μετεγχειρητική παρακολούθηση του ασθενούς και αυτή περιλαμβάνει:
- Συνεχή αναλγητική αγωγή μέσω περιφερικού νευρικού αποκλεισμού (block) με τη βοήθεια εξειδικευμένου αναισθησιολόγου για το άμεσο μετεγχειρητικό διάστημα.
- Εξατομικευμένη Φυσικοθεραπεία [Centre Ostéo-Articulaire des Cèdres, Grenoble, Rhône- Alpes, France] για ταχεία επάνοδο του ασθενή στις καθημερινές του δραστηριότητες.
- Στόχος της ομαδικής αυτής συνεργασίας είναι η συνεχής ιατρική και φυσικοθεραπευτική υποστήριξη του ασθενή και η ανάκτηση του ιδίου επιπέδου αθλητικής, επαγγελματικής και καθημερινής δραστηριότητας.
