of

Αρχόμενη Αρθρίτιδα/Ραιβότητα του Γόνατος

  • Τι είναι η ραιβότητα του γόνατος; Open or Close
    • - Ονομάζεται η απόκλιση του άξονα του γόνατος κατά την οποία η κνήμη και ο μηρός σχηματίζουν γωνία ανοιχτή προς τα έσω. Κατά την παραμόρφωση αυτή τα φορτία του σώματος διέρχονται κυρίως από την έσω πλευρά του γόνατος (έσω μεσάρθριο διάστημα), με αποτέλεσμα αυτό να φθείρεται πιο εύκολα και γρήγορα.
    • - Αποτελεί πρώιμο ακτινολογικό δείκτη της αρθρίτιδας του γόνατος.
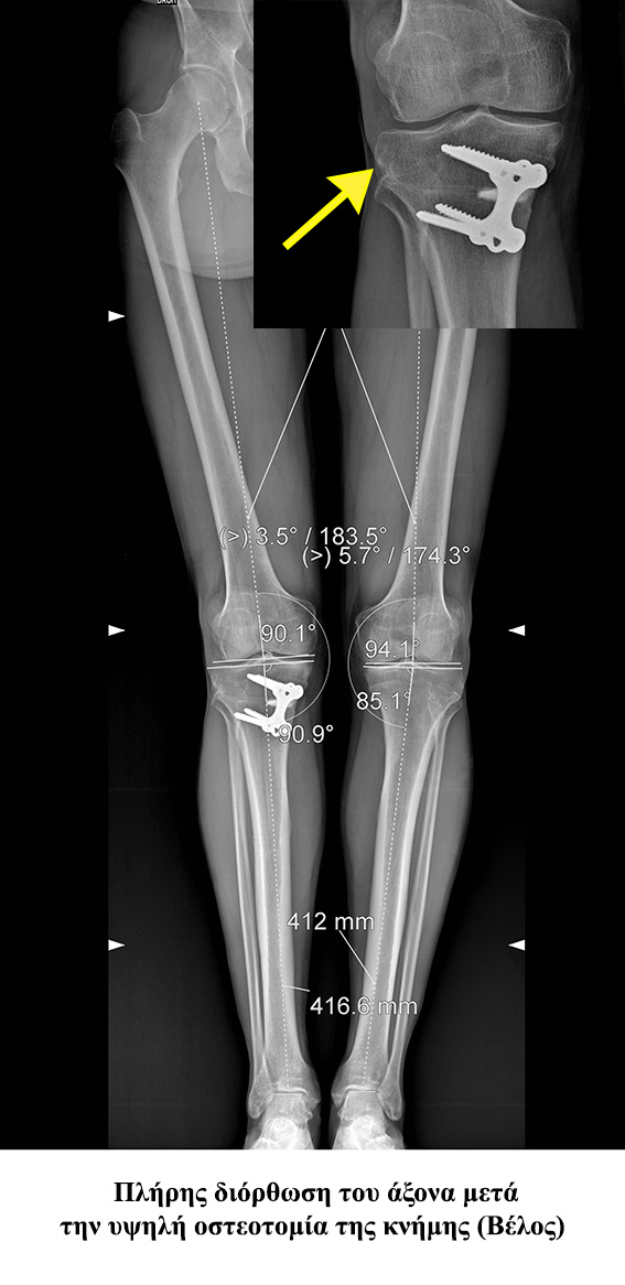
    • - Υπάρχει δυνατότητα διόρθωσης πραγματοποιώντας υψηλή οστεοτομία της κνήμης.

  • Ποιος είναι ο ιδανικός ασθενής για την πραγματοποίηση υψηλής οστεοτομίας κνήμης; Open or Close

    Τα χαρακτηριστικά του «ιδανικού ασθενή» είναι:

    • - Ηλικία <65 ετών.
    • - Άλγος εντοπισμένο κυρίως στην έσω πλευρά του γόνατος.
    • - Σχεδόν φυσιολογικό εύρος κίνησης της άρθρωσης.
    • - Φυσιολογικοί σύνδεσμοι ή προγραμματισμός για ταυτόχρονη αποκατάσταση αυτών.
    • - Μη ύπαρξη φλεγμονώδους αρθρίτιδας (πχ ρευματοειδής αρθρίτιδα).
    • - Φυσιολογικό Δείκτη Μάζας Σώματος (BMI).
  • Τι περιλαμβάνει ο προεγχειρητικός σχεδιασμός της υψηλής οστεοτομίας της κνήμης; Open or Close
    • - Προσεκτική κλινική εξέταση.
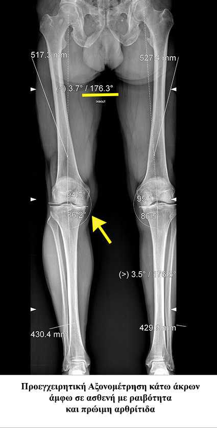
    • - Απλός ακτινολογικός έλεγχος που να περιλαμβάνει και τα δύο κάτω άκρα με σκοπό την ακριβή μέτρηση της παραμόρφωσης.
    • - Πιθανή μαγνητική τομογραφία ή αρθρογράφημα του γόνατος με αξονική τομογραφία για την αξιολόγηση των μαλακών μορίων και της κατάστασης του χόνδρου.

  • Τι περιλαμβάνει η χειρουργική επέμβαση της υψηλής οστεοτομίας της κνήμης; Open or Close
    • - Γίνεται με τη βοήθεια ακτινοσκοπικού μηχανήματος ή πλοηγού (navigation). Navigation Assisted High Tibial Open Wedge Osteotomy, Boutsiadis-Panisset. https://www.vumedi.com/video/navigation-assisted-high-tibial-open-wedge-osteotomy. (Link διαθέσιμο ΜΟΝΟ για επαγγελματίες υγείας)
    • - Πραγματοποιείται οστεοτομία στο άνω άκρο της κνήμης και διόρθωση της παραμόρφωσης του γόνατος
    • - Συγκράτηση της διόρθωσης αυτής με τη βοήθεια μικρής πλάκας και κοχλιών.
    • - Στο ίδιο χρόνο μπορεί να πραγματοποιηθεί συνδεσμοπλαστική του προσθίου ή οπισθίου χιαστού σε ασθενείς με χρόνια ανεπάρκεια αυτών.
    • - Η συνολική διάρκεια της επέμβασης είναι μεταξύ 30 και 60 λεπτών.

  • Ποια είναι τα αποτελέσματα και που αποσκοπεί η επέμβαση της υψηλής οστεοτομίας της κνήμης; Open or Close
    • - Σκοπός είναι η καθυστέρηση ανάπτυξης της αρθρίτιδας και η εξάλειψη του άλγους για διάρκεια 10 τουλάχιστον ετών.
    • - Αποφυγή πραγματοποίησης άμεσα ολικής αρθροπλαστικής γόνατος σε νέους ασθενείς
    • - Η πλήρης αποκατάσταση του ασθενή διαρκεί 4 περίπου μήνες.